たつみ式保存療法はなぜ効くのか? 変形性膝関節症 3つのポイント

ひざ関節痛はシーソーのようなもの。
良い方向に傾く要因を増やすことで回復していきます。
良い方向に傾く要因を増やすことで回復していきます。
ひざ関節の分野において数多くの手術を手掛けてこられた巽 一郎医師。その豊富な経験を持ちながら、「すぐには手術をしない医師」、「ひざの保存療法の第一人者」としても知られています。今回は、巽医師が考える“ひざ治療”について、お話を伺いました。
※本ページに掲載されている情報は、2023年6月時点のものです。
プロフィール
一宮西病院
整形外科部長 / 人工関節センター長
巽 一郎
1992年、大阪市立大学卒業。大阪市立大学医学部、大阪府立身体障害者福祉病院、⽶国メイヨー・クリニック フェロー、英国オックスフォード大学 留学、湘南鎌倉総合病院を経て、2020年より一宮西病院。著書に『100年足腰』、『100年ひざ』、『足腰復活100年体操』(すべてサンマーク出版)がある。
⇒プロフィールの詳細はこちら
ひざの痛みで外来受診を希望される方(初診)は、完全予約制となります。詳しくはこちらのページをご確認ください。
整形外科部長 / 人工関節センター長
巽 一郎
1992年、大阪市立大学卒業。大阪市立大学医学部、大阪府立身体障害者福祉病院、⽶国メイヨー・クリニック フェロー、英国オックスフォード大学 留学、湘南鎌倉総合病院を経て、2020年より一宮西病院。著書に『100年足腰』、『100年ひざ』、『足腰復活100年体操』(すべてサンマーク出版)がある。
⇒プロフィールの詳細はこちら
ひざの痛みで外来受診を希望される方(初診)は、完全予約制となります。詳しくはこちらのページをご確認ください。
ページ内目次
1. レントゲンの見方

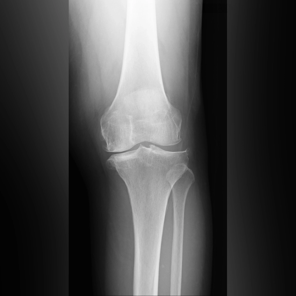
ひざ関節は、大腿骨と脛骨の間の隙間の部分です。レントゲンではこの部分が隙間として写りますが、実際には関節軟骨と半月板が存在します。立位で体重をかけて撮影した場合、この隙間の広さがおおよそ関節軟骨の厚みを示すと考えてよいでしょう。この大腿骨と脛骨の隙間のうち、腓骨に近い側を外側関節、腓骨から遠い側を内側関節と呼びます。また、脛骨の中央には2つの小さな山のような部分が見えますが、ここには前十字じん帯と後十字じん帯がついています。

初期

中期

末期

※レントゲン画像左が内側、右が外側
O脚変形がみられる場合、初期のレントゲンでは外側関節に比べて内側関節の隙間がやや狭くなっています。これは内側の軟骨が少し減ってきた状態を示しています。
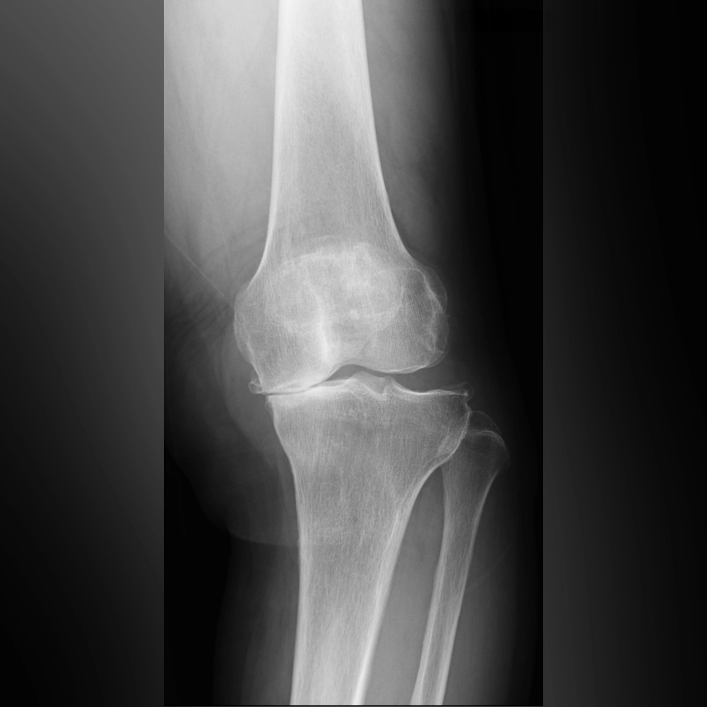
中期のレントゲンでは、内側関節の隙間がほとんどなくなります。この段階では、内側の軟骨が完全に失われ、大腿骨と脛骨が直接ぶつかっている状態です。低い椅子から立ち上がる際にゴリゴリという音がしたり、骨表面に髪の毛ほどの細いひび(微小骨折)が生じて強い痛みを感じるようになります。この中期変形性関節症の時期になると、痛みのために歩くのがつらくなる方が多くなります。
中期以降になると、痛み止めの薬を常用する方も増えてきます。痛みとは、ひざが脳に“骨が割れた”と知らせるシグナルであり、脳はそれを受けて修復のための炎症反応を起こし、血液を送って自己修復を始めます。ところが、痛み止めでそのシグナルを抑えたまま歩き続けると、関節の変形が進行して末期に至ることがあります。
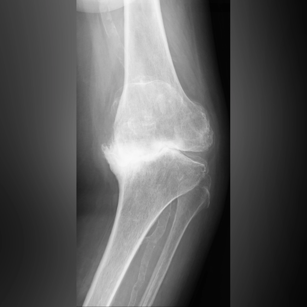
末期では、脛骨がすり減り、大腿骨がめり込んだ状態になります。ここまで変形が進むと、ひざの中にある4つの靱帯のバランスも悪くなり、歩行が不安定になってしまいます。
中期のレントゲンでは、内側関節の隙間がほとんどなくなります。この段階では、内側の軟骨が完全に失われ、大腿骨と脛骨が直接ぶつかっている状態です。低い椅子から立ち上がる際にゴリゴリという音がしたり、骨表面に髪の毛ほどの細いひび(微小骨折)が生じて強い痛みを感じるようになります。この中期変形性関節症の時期になると、痛みのために歩くのがつらくなる方が多くなります。
中期以降になると、痛み止めの薬を常用する方も増えてきます。痛みとは、ひざが脳に“骨が割れた”と知らせるシグナルであり、脳はそれを受けて修復のための炎症反応を起こし、血液を送って自己修復を始めます。ところが、痛み止めでそのシグナルを抑えたまま歩き続けると、関節の変形が進行して末期に至ることがあります。
末期では、脛骨がすり減り、大腿骨がめり込んだ状態になります。ここまで変形が進むと、ひざの中にある4つの靱帯のバランスも悪くなり、歩行が不安定になってしまいます。
2. 変形する仕組み

平地を歩くと、ひざ関節には体重の約5倍の荷重がかかります。正常なひざでは関節のほぼ中央に荷重がかかりますが、初期の方では内側の軟骨が少し減っているため、荷重はひざのやや内側を通ります。この段階では、内側にもまだ少なからず軟骨が残っているため、骨が割れる=微小骨折を起こすことはありません。しかし、軟骨に挟まれている半月板は、隙間が狭くなっていることで損傷しやすくなります。初期のひざの痛みの多くが内側の半月板損傷によるのはこのためです。
中期の方が平地を歩いたときには、ひざ関節のかなり内側に荷重がかかります。たとえば体重が40kgの方であれば、一歩ごとに200kgの力がかかる計算になり、その重さを支えるのは曲がった下肢の骨です。一歩ごとにひざ関節が200kgの力で外側へ押し出されるため、ひざが悪くなった原因である内側の軟骨や骨はさらに損傷していきます。半月板は本来の位置を保てず、内側へ脱臼しています。
末期の方が平地を歩いたときにも、荷重はひざ関節からさらに離れた内側を通過します。その結果、荷重を支えるひざは外側へどんどん曲がり、内側の損傷部がさらに悪化していきます。このようにして、ひざの変形は進行していくのです。
中期の方が平地を歩いたときには、ひざ関節のかなり内側に荷重がかかります。たとえば体重が40kgの方であれば、一歩ごとに200kgの力がかかる計算になり、その重さを支えるのは曲がった下肢の骨です。一歩ごとにひざ関節が200kgの力で外側へ押し出されるため、ひざが悪くなった原因である内側の軟骨や骨はさらに損傷していきます。半月板は本来の位置を保てず、内側へ脱臼しています。
末期の方が平地を歩いたときにも、荷重はひざ関節からさらに離れた内側を通過します。その結果、荷重を支えるひざは外側へどんどん曲がり、内側の損傷部がさらに悪化していきます。このようにして、ひざの変形は進行していくのです。
3. 手術と保存療法

全置換術(TKA)

半置換術(UKA)

骨切り術

まず、日本で変形性膝関節症の手術といえば、全置換術(TKA)が挙げられます。ひざ関節のすべてを金属に置き換え、その間に人工の軟骨を挿入することで、レントゲン上では隙間が見えるようになります。これによって骨同士がぶつからなくなり、痛みは解消されます。私が考えるこの手術の欠点は2つあります。1つは、関節の真ん中にある十字じん帯を切除してしまうこと。もう1つは、術後の腫れが強く、術前よりもひざの可動域が狭くなる方が多いことです。十字じん帯にはその緊張を脳へ伝える神経があり、これを切ることで“自然な動きの感覚”が失われます。
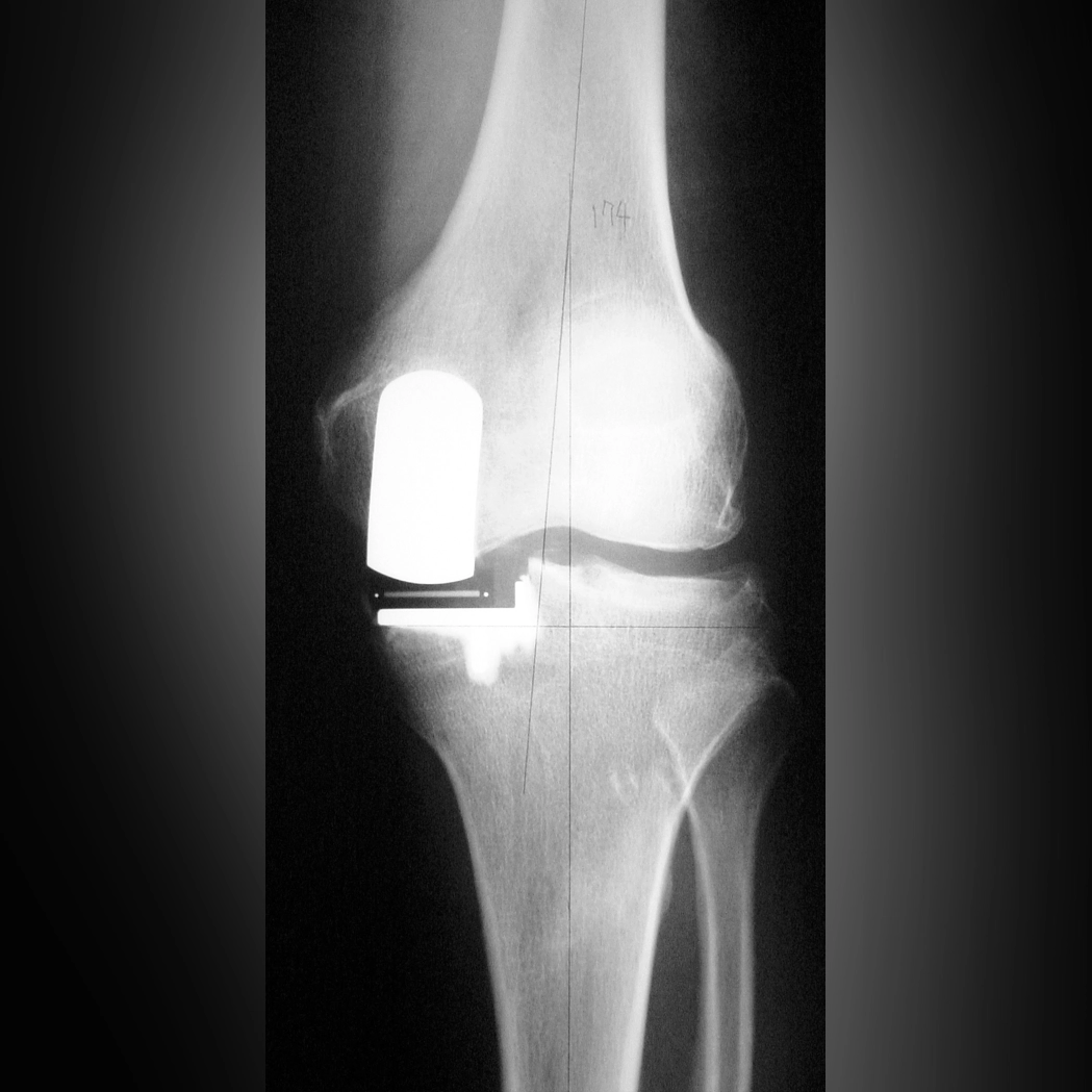
中期から末期前半においては、十字じん帯がまだ残っていることが多く、そうした方には半置換術(UKA)をおすすめしています。半置換術は、悪くなった内側のみを人工関節に置き換える手術で、十字じん帯を残すことが可能です。全置換術に比べて切開が小さく、筋肉を切らずにおこなえるため、術後の腫れが少なく、正座ができるほどひざを曲げられる方も少なくありません。さらに、十字じん帯が残っていることで、その緊張が脳にフィードバックされる(プロプリオセプション)ため、自然な感覚が保たれます。そのため、術後にひざが悪くなる以前にされていたスポーツに復帰される患者さんも多く見られます。
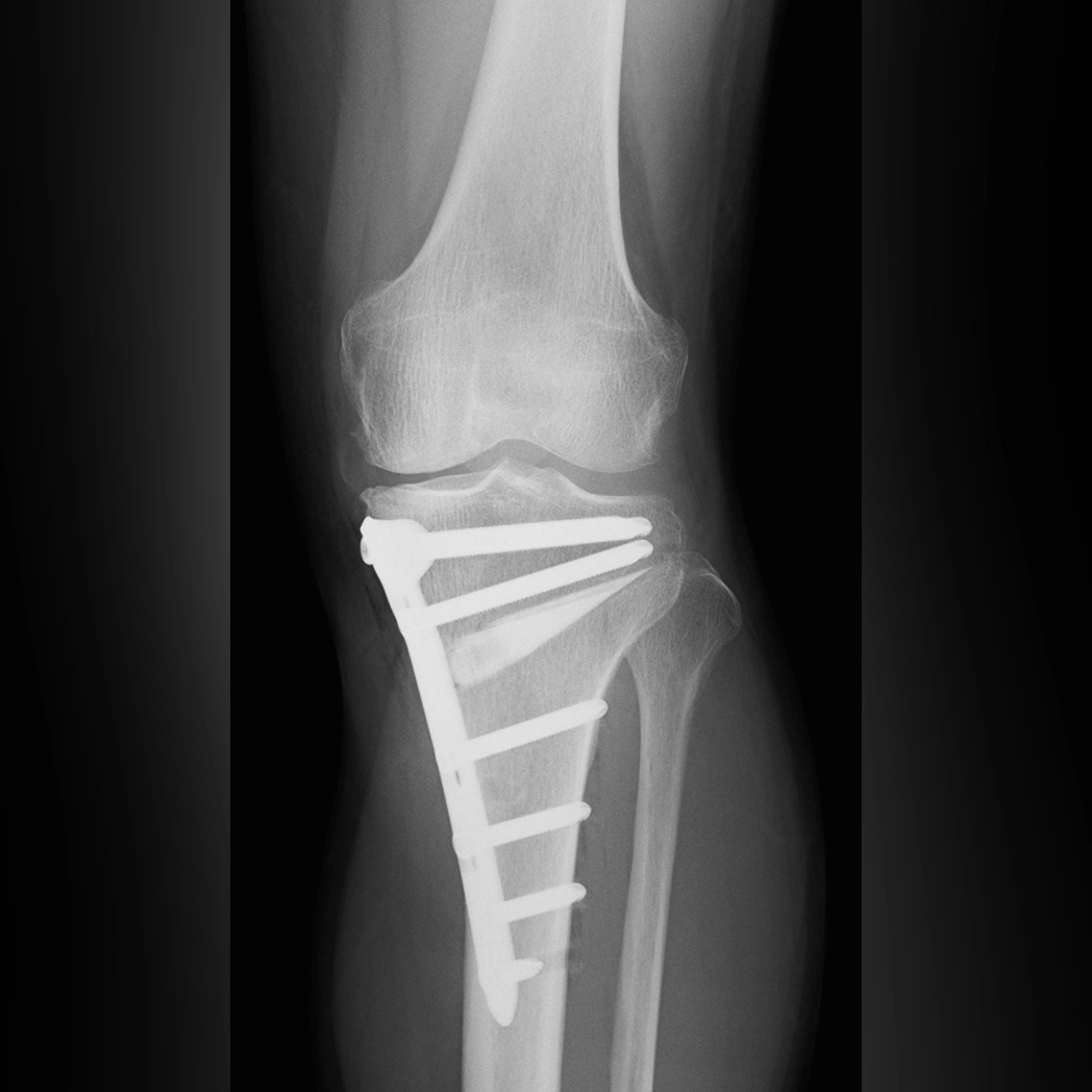
一方、日本で開発された手術法に骨切り術があります。これは、ひざの内側の軟骨がすり減ってO脚に変形した脚に対して、脛骨を切り、下腿を反対側に曲げて固定するというものです。私はこの骨切り術を対症療法だと考えてきました。なぜなら、O脚になった根本の原因(ひざ関節内側の軟骨減少)に手を加えず、正常な脛骨を切るからです。
では、骨切り術でひざの内側の痛みが軽くなるのはなぜでしょうか。それは、ひざの軸がまっすぐになることで、荷重の通り道がひざのより内側から関節の中央へと移動するためです。荷重がひざの中央を通るようになると、外側に残っていた関節軟骨が機能しはじめ、痛みなく歩けるようになります。実際、足を振って歩いているうちに、軟骨が失われた内側に線維軟骨が新たに形成されたという報告もあります。
つまり、骨切り術で痛みなく歩けるようになる仕組みは、“たつみ式保存療法”で痛みが軽くなる仕組みとまったく同じということです。わざわざ骨を切ってまで荷重軸をひざの中心に移動させずとも、歩き方を変えて「足放り体操」を取り入れることで線維軟骨をつくれば、同じ原理で痛みは治まり、O脚も改善していきます。
中期から末期前半においては、十字じん帯がまだ残っていることが多く、そうした方には半置換術(UKA)をおすすめしています。半置換術は、悪くなった内側のみを人工関節に置き換える手術で、十字じん帯を残すことが可能です。全置換術に比べて切開が小さく、筋肉を切らずにおこなえるため、術後の腫れが少なく、正座ができるほどひざを曲げられる方も少なくありません。さらに、十字じん帯が残っていることで、その緊張が脳にフィードバックされる(プロプリオセプション)ため、自然な感覚が保たれます。そのため、術後にひざが悪くなる以前にされていたスポーツに復帰される患者さんも多く見られます。
一方、日本で開発された手術法に骨切り術があります。これは、ひざの内側の軟骨がすり減ってO脚に変形した脚に対して、脛骨を切り、下腿を反対側に曲げて固定するというものです。私はこの骨切り術を対症療法だと考えてきました。なぜなら、O脚になった根本の原因(ひざ関節内側の軟骨減少)に手を加えず、正常な脛骨を切るからです。
では、骨切り術でひざの内側の痛みが軽くなるのはなぜでしょうか。それは、ひざの軸がまっすぐになることで、荷重の通り道がひざのより内側から関節の中央へと移動するためです。荷重がひざの中央を通るようになると、外側に残っていた関節軟骨が機能しはじめ、痛みなく歩けるようになります。実際、足を振って歩いているうちに、軟骨が失われた内側に線維軟骨が新たに形成されたという報告もあります。
つまり、骨切り術で痛みなく歩けるようになる仕組みは、“たつみ式保存療法”で痛みが軽くなる仕組みとまったく同じということです。わざわざ骨を切ってまで荷重軸をひざの中心に移動させずとも、歩き方を変えて「足放り体操」を取り入れることで線維軟骨をつくれば、同じ原理で痛みは治まり、O脚も改善していきます。


上のレントゲン写真の患者さんは76歳、左ひざ中期の方です。内側の軟骨はほとんど失われ、低い椅子から立ち上がるたびにギリギリと音がして激痛が生じていました。そこで、体重をかけずに椅子に座り、ひざから下をぶらぶらと振る「足放り体操」をはじめていただきました。関節液が残った軟骨を潤し、軟骨が失われた部分には線維軟骨が少しずつ覆うようになります。
ただし、この状態で体重をかけて歩くと、ひざの内側に体重の約5倍の力が加わり、せっかく作られた軟骨もすぐにすり減ってしまいます。だからこそ、歩き方を変える必要があるのです。
ただし、この状態で体重をかけて歩くと、ひざの内側に体重の約5倍の力が加わり、せっかく作られた軟骨もすぐにすり減ってしまいます。だからこそ、歩き方を変える必要があるのです。

内反ストレス撮影

外反ストレス撮影
次に、同じ患者さんのストレス撮影を見てみましょう。左の内反の写真では、体重がかかることでひざが外側へ押し出され、内側の骨同士がぶつかっています。右の外反の写真は、ひざを外側から内側に押しながら撮影したものですが、内側の関節裂隙(大腿骨と脛骨の間の隙間)が開いているのがわかります。
つまり、この外反歩きを身につけることで、足を振って作られた軟骨が潰れにくくなり、痛みを抑えて歩けるようになるのです。正常な脛骨を切って、2年後に抜釘術を受けなくても、自分の力でその成果を手にできる可能性があるということです。
つまり、この外反歩きを身につけることで、足を振って作られた軟骨が潰れにくくなり、痛みを抑えて歩けるようになるのです。正常な脛骨を切って、2年後に抜釘術を受けなくても、自分の力でその成果を手にできる可能性があるということです。
まとめ
保存療法のまとめ
- 足放り体操 (歩く前に椅子に座って下腿を両手で持ち上げて振る)
- 体重を標準体重に (水だけ断食を週に1回)
- 外反歩き (かかとが接地したら足の内側に荷重、外側は少し浮かせる)
- 腹筋と大腿四頭筋を鍛える (ひざが左右にグラグラしなくなる)
足放り体操で下腿を振ることで関節包が伸び、滑膜から軟骨の栄養となる成分が分泌されます。これによって、硝子軟骨が完全になくなってしまった方でも、繊維軟骨が新たに生成されるのです。また、外反歩きなどの2〜4の項目は、生成された軟骨や残っている軟骨をこれ以上減らさないようにする方法です。
ひざ関節の痛みはシーソーのようなものです。ひざを悪い方向に傾ける要因を知って、それを減らしていくこと。反対に、良い方向に傾ける動きや習慣を知り、それを増やしていくことで、ひざは回復していきます。
まずはこれらの保存療法に、3ヶ月しっかり取り組んでみてください。取り組む前と比べて、歩き出しの痛みが半分ほどに減った方は、さらに3ヶ月から半年継続してみましょう。きっと良くなります。3ヶ月必死に取り組んでも痛みがほとんど変わらない場合は、思い切って手術を受けてください。そして、残りの人生を痛みのないひざで存分に楽しんでいただきたいと思います。
ひざ関節の痛みはシーソーのようなものです。ひざを悪い方向に傾ける要因を知って、それを減らしていくこと。反対に、良い方向に傾ける動きや習慣を知り、それを増やしていくことで、ひざは回復していきます。
まずはこれらの保存療法に、3ヶ月しっかり取り組んでみてください。取り組む前と比べて、歩き出しの痛みが半分ほどに減った方は、さらに3ヶ月から半年継続してみましょう。きっと良くなります。3ヶ月必死に取り組んでも痛みがほとんど変わらない場合は、思い切って手術を受けてください。そして、残りの人生を痛みのないひざで存分に楽しんでいただきたいと思います。
最後にメッセージ
私は、おじいちゃんやおばあちゃんが笑っている顔を見るのが何よりも大好きです。
手術をせずにひざの痛みを原因から取り除く方法もあれば、できるだけ小さい傷で自然な感覚を残したまま人工関節に置き換える方法もあります。どちらを選ぶかは、最終的に患者さんご本人が選択することになります。
いずれの選択をされた場合でも、みなさんの笑顔を見るために一生懸命お手伝いさせていただきます。
手術をせずにひざの痛みを原因から取り除く方法もあれば、できるだけ小さい傷で自然な感覚を残したまま人工関節に置き換える方法もあります。どちらを選ぶかは、最終的に患者さんご本人が選択することになります。
いずれの選択をされた場合でも、みなさんの笑顔を見るために一生懸命お手伝いさせていただきます。

